Private Dentist in Greenwich

Speak to us today on 020 8016 4121

14-16 Victoria Parade, New Capital Quay, Greenwich, London SE10 9FR

CONTACT US

Contact details

Refer a patient

I would like to

Smile Gallery

  • Home
  • /
  • Smile Gallery
gallery before

Before

gallery after

After

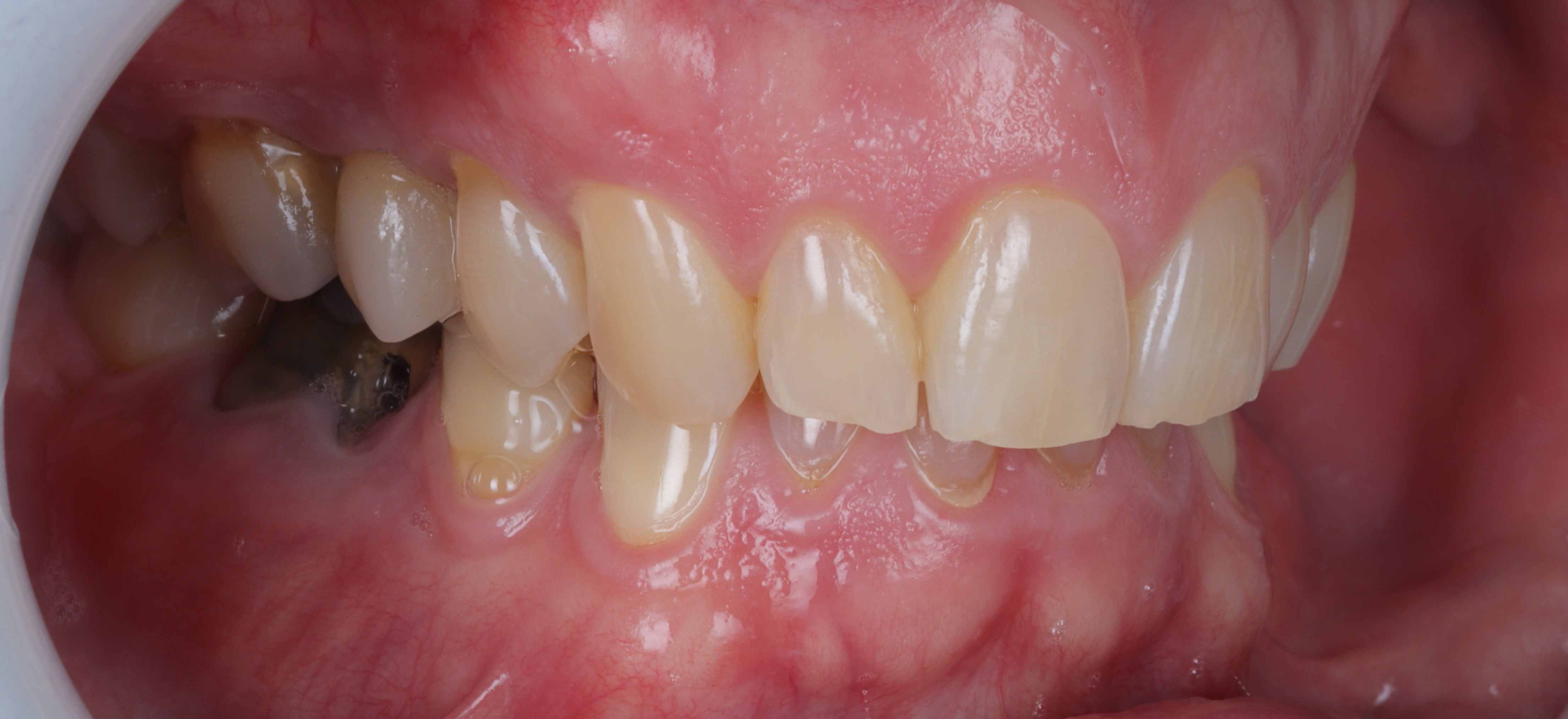
Molar implant

READ MORE
gallery before

Before

gallery after

After

A lovely transformation using Invisalign to correct dental crowding and improve bite…

READ MORE
Damaged front tooth

Before

Replaced with dental implant supported highly natural ceramic crown

After

Unfortunately, this young patient required the removal of a front tooth. Thanks…

READ MORE
gallery before

Before

gallery after

After

Front teeth replacement with dental implants. Lovely lady with a lot of…

READ MORE
gallery before

Before

gallery after

After

We placed four Dental IMPLANTS in each jaw to replace the entire…

READ MORE
Crowded and overlapped front teeth

Before

Well aligned and evenly positioned teeth

After

Invisalign + Whitening + Bonding

READ MORE
gallery before

Before

gallery after

After

Ultra thin porcelain veneers were used to design this smile.

READ MORE
gallery before

Before

gallery after

After

Amazing transformation can be achieved with  hand crafted PORCELAIN VENEERS! Book your…

READ MORE
gallery before

Before

gallery after

After

Two DENTAL IMPLANTS  to replace four lower front teeth.    

READ MORE
An old silver ( amalgam ) fillings

Before

A well contoured composite filling

After

Transition from a metallic to a beautiful tooth coloured filling.

READ MORE
Before invisalign

Before

After Invisalign , whitening and Bonding

After

Absolutely stunning transformation  with INVISALIGN for this lovely patient ahead of her…

READ MORE
gallery before

Before

gallery after

After

Home teeth whitening

READ MORE
gallery before

Before

gallery after

After

INVISALIGN clear aligners and BOUTIQUE teeth whitening to straighten & brighten up…

READ MORE
gallery before

Before

gallery after

After

Incredible smile makeover with INVISALIGN braces! Learn more about Invisalign

READ MORE
gallery before

Before

gallery after

After

Restoring smile and confidence with dental implants and…

READ MORE
White patch on right canine

Before

Teeth whitening followed by ICON treatment

After

White patches/spots are development defects that can compromise a smile. ICON treatment…

READ MORE
Upper front discolored tooth

Before

after whitening

After

With INSIDE OUT teeth whitening, it is possible to make the darkest…

READ MORE
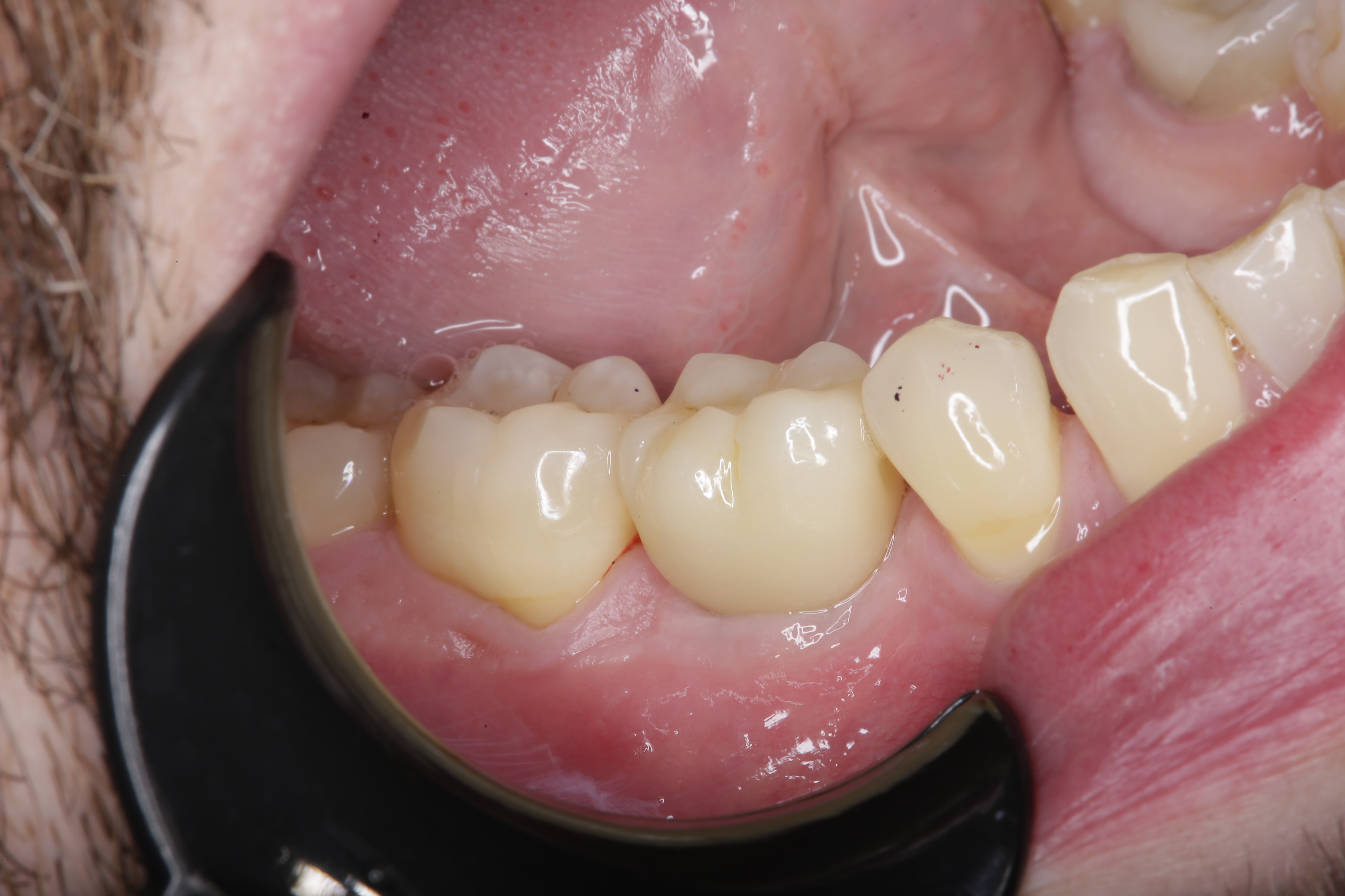
Before Dental Implants

Before

After Dental Implants

After

Missing lower molar replaced with a dental implant supported crown. Treatment time-…

READ MORE
gallery before

Before

gallery after

After

Cosmetic Bonding

READ MORE
Midline spacing

Before

Spacing closed with bonding

After

Cosmetic Bonding

READ MORE
gallery before

Before

gallery after

After

Invisalign - Teeth straightening

READ MORE
Before Cosmetic Bonding

Before

After Cosmetic Bonding

After

Cosmetic Bonding

READ MORE
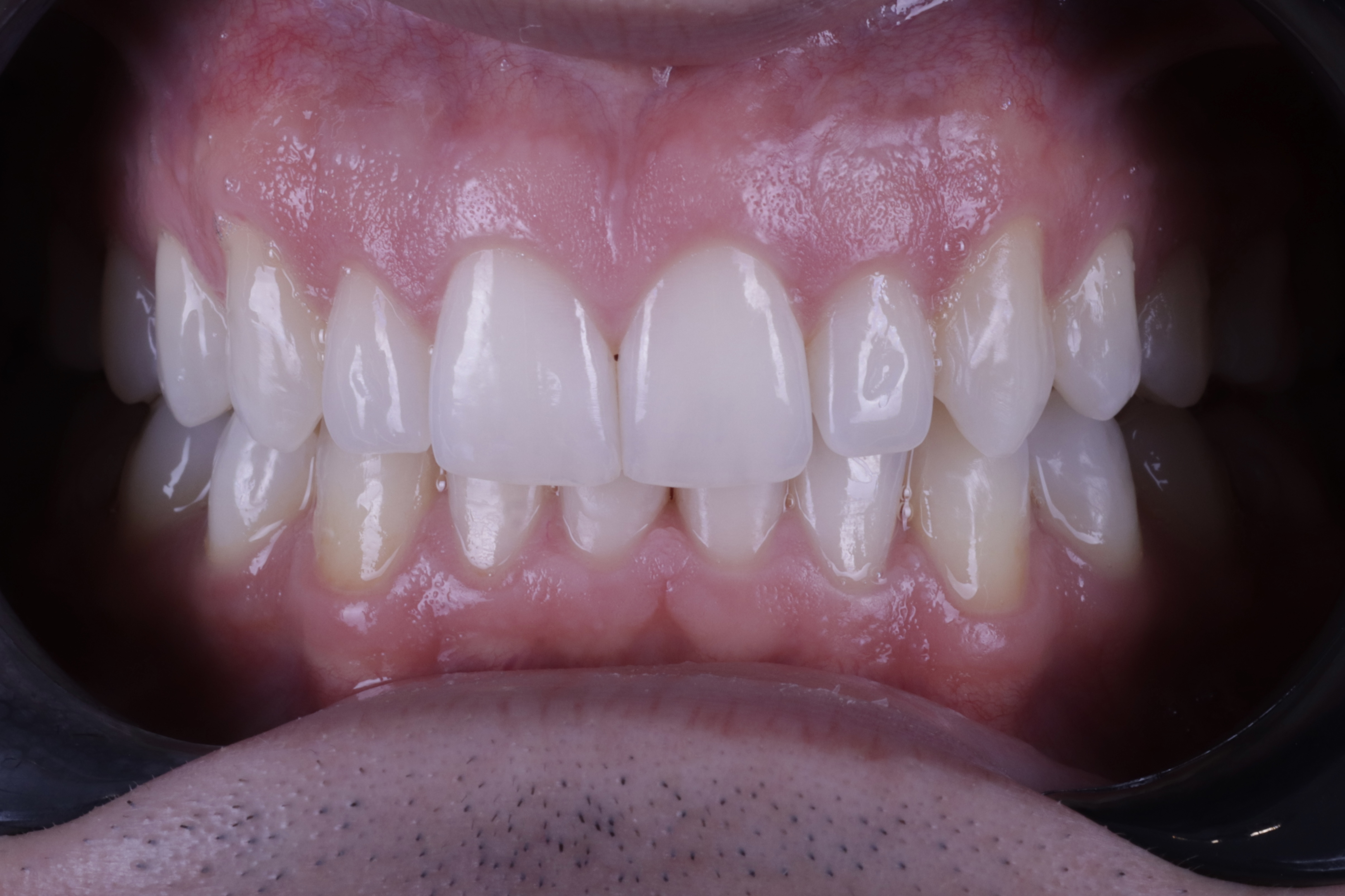
Smile makeover before

Before

Smile makeover after

After

Smile Makeover

READ MORE
Teeth Whitening Before

Before

test

After

Teeth Whitening

READ MORE
Greenwich Dental Health

General Dentistry

At Greenwich Dental Health, we deliver all aspects of routine dental care

READ MORE
Greenwich Dental Health

Advanced Dentistry

High quality advanced dentistry using the very best in digital technology - to empower your smile.

READ MORE
Greenwich Dental Health

Implant Dentistry

Dental implants restore the natural function of your bite by replacing one or more missing teeth.

READ MORE
Greenwich Dental Health

Cosmetic

Attain a perfect smile with our variety of our highly popular cosmetic dental techniques.

READ MORE